LA TRATAMIENTO DE OS TRIGONUM DE ENORME TAMAÑO: CASO CLÍNICO
Por Dr. Juan J. Nogales Hidalgo
Cirujano Ortopédico
CENTRO DE TERAPIAS BIOLÓGICAS JUAN NOGALES
Presento un caso clínico de una mujer de 72 años, que comenzó con dolor en la región posterior del tobillo derecho de un año de evolución, con impotencia funcional y molestias que le
impedían caminar de forma normal. El dolor fue en aumento y le provocaba problemas para realizar caminatas de forma constante. Se acompaña de tumefacción del tobillo y pie en la región posterior.
EXPLORACIÓN FÍSICA
En el examen clínico se observa un pie algo hinchado en la región posterior, con alineamiento del calcáneo en discreto valgo y dolor a la palpación en la región posterolateral a nivel del tendón de Aquiles y en la región postero-medial a nivel de la región retromaleolar interna, que aumentaba con la movilización del primer dedo del pie. Presentaba dolor en la flexión plantar forzada del pie en la zona posterior del tobillo. La movilidad de la subastragalina no presentaba dolor al igual que la movilidad de la tibioperonea-astragalina.
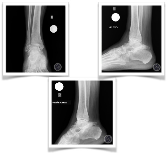
ESTUDIO POR IMAGEN: RX
Presencia de enorme OS TRIGONUM, osificación posterior a la articulación calcáneo-astragalina.
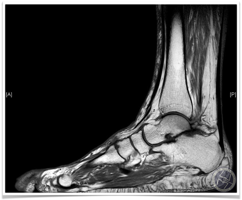
ESTUDIO POR IMAGEN: RMN
Confirmación de OS TRIGONUM en las secuencias T1 y T2
Lesion osteo-condral (LOC) en la cúpula astragalina en la zona 6.
Edema óseo en la region posterior del astrágalo.
Artrosis subastragalina
TRATAMIENTO
Se procedió a la cirugía de la región posterior del tobillo derecho, planteándonos si realizarlo por técnica endoscópica según criterios de Niek Van Dick (2002) o por cirugía abierta con abordaje para-aquileo lateral según criterio de Myerson (2005).
Por el tamaño del osículo, preferimos realizarlo por técnica abierta, ya que nos parecíó mas adecuado y menos dificultoso.
Se procedió a realizar bajo anestesia general (la paciente tenía una instrumentación vertebral lumbar realizada) y con bloqueos nerviosos periféricos en decúbito prono dicha cirugía.
Primer paso quirúrgico:
Incisión para aquilea lateral y profundización hasta ladisección del os trigonum; resección del mismo, que
no pudo realizarse completamente sino por fragmentos.
Segundo paso: localización del astrágalo y perforación del mismo para realizar infiltración intraósea de PRP (plasma autólogo rico en plaquetas.
Tercer paso: Infiltración de PRP en el tendón flexor largo del hallux y en la articulación subastragalina posterior, en la tibio-peroneo-astragalina y en estructuras profundas de la región posterior del tobillo derecho.
Cierre quirúrgico:
Cierre del subcutáneo y de la piel mas colocación de un sistema de drenaje Redón de aspiración, que se mantuvo 24 horas.
CONTROL RADIOGRÁFICO POSTOPERATORIO
En el control radiográfico postoperatorio se evidencia la completa resección del os
trigonum con la presencia del redón en la región profunda posterior del tobillo.
ALTA HOSPITALARIA
Al día siguiente de la intervención se retiró el redón que produjo 75 cc de sangre, se le
colocó un aposito estéril y media elástica de compresión normal.
La paciente caminó independientemente con ayuda de bastones y se controló el dolor con analgésicos, por lo que fue dada de alta hospitalaria precoz a su domicilio.

Hemos detectado que está usando Internet Explorer en su ordenador para navegar en esta web. Internet Explorer es un antiguo navegador que no es compatible con nuestra página web y Microsoft aconseja dejar de usarlo ya que presenta diversas vulnerabilidades. Para el uso adecuado de esta web tiene que usar alguno de los navegadores seguros y que se siguen actualizando a día de hoy como por ejemplo: